Использование материала Остеоматрикс при полифокальном внутрисуставном импрессионном переломе дистального эпиметафиза лучевой кости

Использование материала Остеоматрикс при полифокальном внутрисуставном импрессионном переломе дистального эпиметафиза лучевой кости.
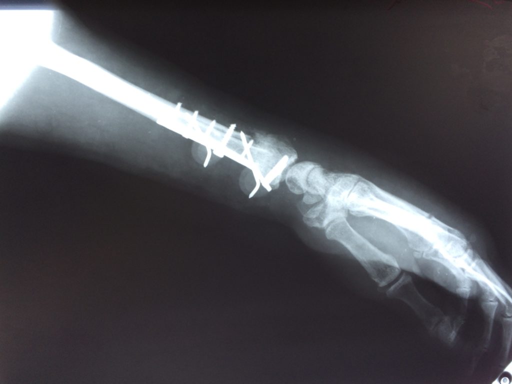
Операция - открытая репозиция, остеосинтез лучевой кости пластиной с костной ксенопластикой материалом "Остеоматрикс". На контрольных снимках в три месяца имеется консолидация перелома, миграции фиксатора нет, имеется остеоинтеграция ксенопластического материала.

































Отдаленные результаты через 3 (три) месяца:

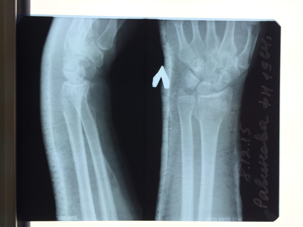
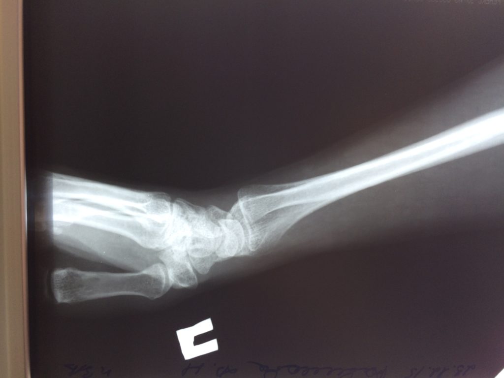
Отдаленные результаты через 6 (шесть) месяцев











