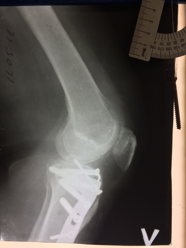
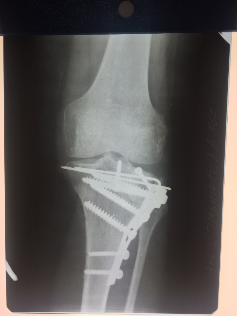
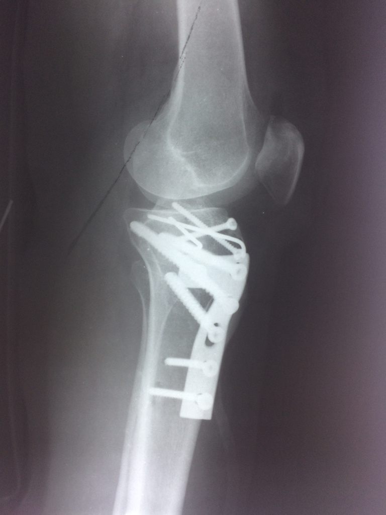
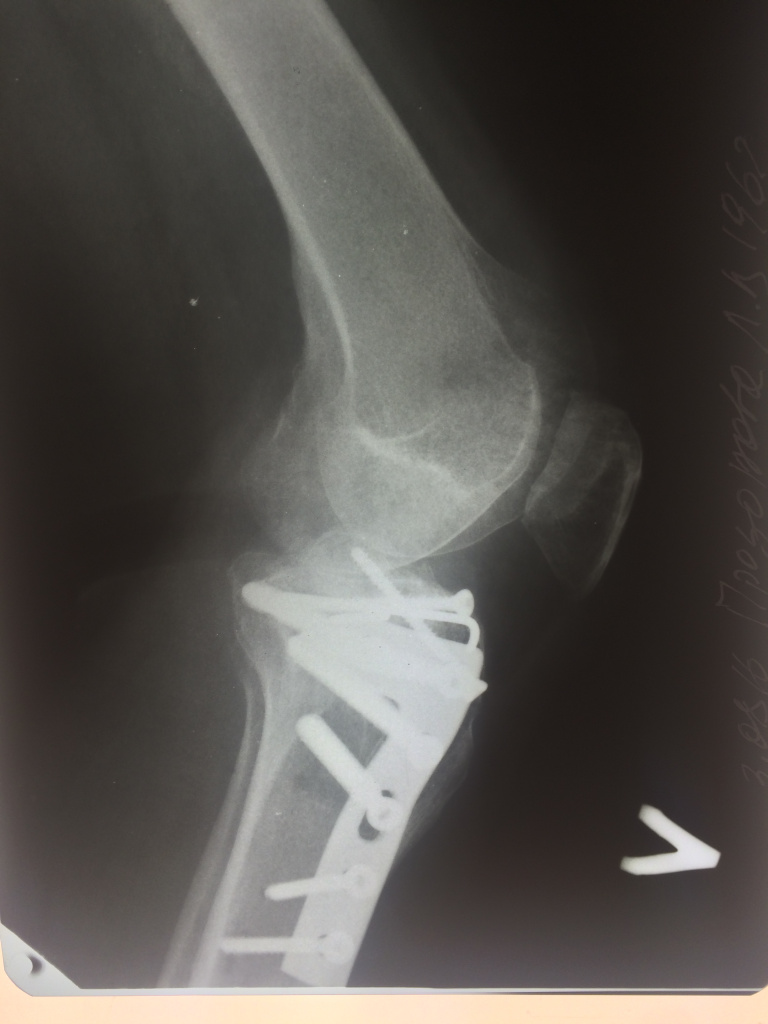
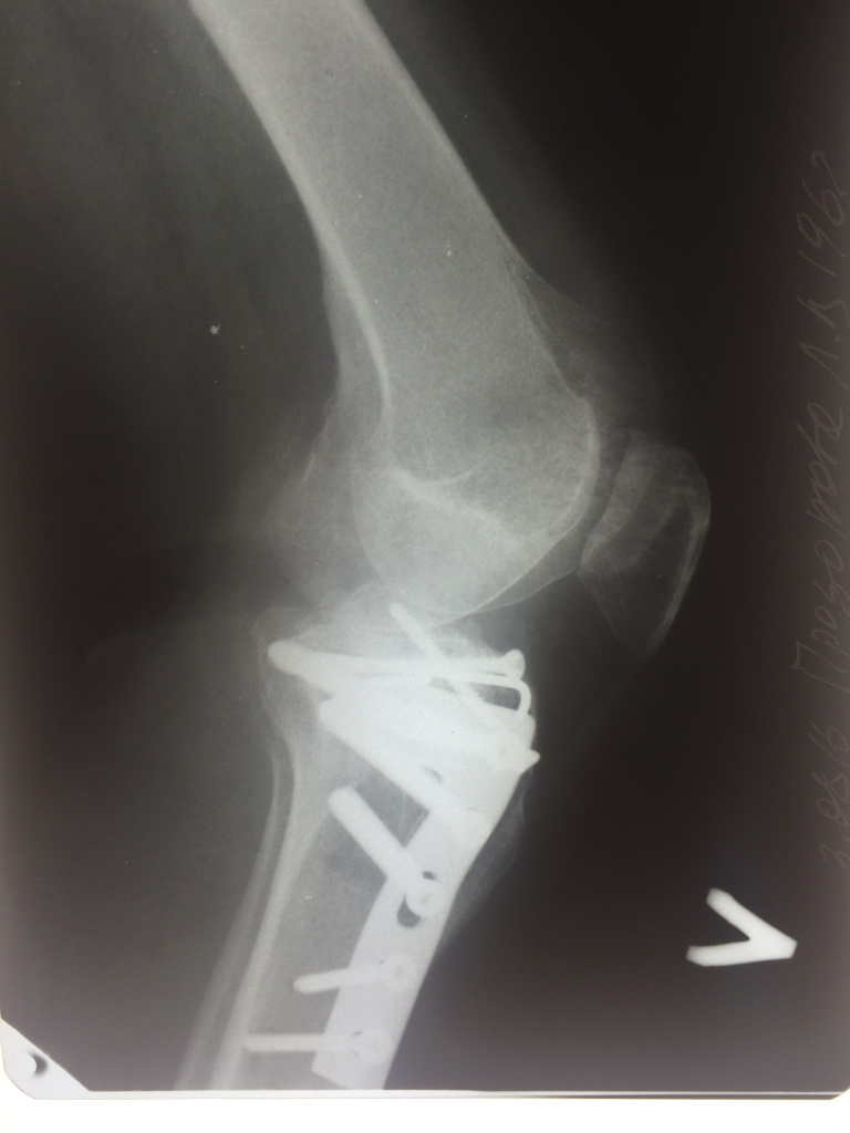
Использование материала Остеоматрикс при импрессионном оскольчатом переломе наружного мыщелка большеберцовой кости по типу Schatzker II
Использование материала Остеоматрикс при импрессионном оскольчатом переломе наружного мыщелка большеберцовой кости по типу Schatzker II.
Операция - открытая репозиция, остеосинтез большеберцовой кости опорной пластиной с костной ксенопластикой маетриалом "Остеоматрикс". На контрольных снимках в три и шесть месяцев имеется консолидация перелома, миграции фиксатора нет, имеется остеоинтеграция ксенопластического материала. Функция коленного сустава полная.



